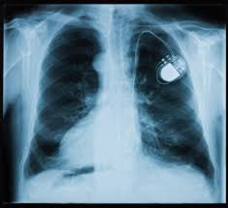
ਪੇਸਮੇਕਰ ਇਕ ਡਿਵਾਇਸ ਯਾਨੀ ਯੰਤਰ ਹੈ ਜੋ ਇਲੈਕਟ੍ਰੀਕਲ ਇਮਪਲਸ ਯਾਨੀ ਦਿਲ ਵਿੱਚ ਅਗਾਊ ਪੈਦਾ ਕਰਦਾ ਹੈ, ਇਸ ਦੀ ਮਦਦ ਨਾਲ ਦਿਲ ਦੀ ਧੜਕਨ ਅਤੇ ਆਵਾਜ਼ ਉਤੇ ਕਾਬੂ...
ਪੇਸਮੇਕਰ ਇਕ ਡਿਵਾਇਸ ਯਾਨੀ ਯੰਤਰ ਹੈ ਜੋ ਇਲੈਕਟ੍ਰੀਕਲ ਇਮਪਲਸ ਯਾਨੀ ਦਿਲ ਵਿੱਚ ਅਗਾਊ ਪੈਦਾ ਕਰਦਾ ਹੈ, ਇਸ ਦੀ ਮਦਦ ਨਾਲ ਦਿਲ ਦੀ ਧੜਕਨ ਅਤੇ ਆਵਾਜ਼ ਉਤੇ ਕਾਬੂ ਰੱਖਿਆ ਜਾ ਸਕਦਾ ਹੈ। ਉਂਝ ਤਾਂ ਇਸ ਦਾ ਇਸਤੇਮਾਲ ਦਿਲ ਨਾਲ ਜੁਡ਼ੀ ਕਈ ਸਮੱਸਿਆਵਾਂ ਲਈ ਕੀਤਾ ਜਾਂਦਾ ਹੈ, ਪਰ ਇਸ ਦੀ ਖਾਸ ਵਰਤੋਂ ਉਸ ਸਮੇਂ ਹੁੰਦਾ ਹੈ ਜਦੋਂ ਦਿਲ ਦੀ ਧੜਕਨ ਠੀਕ ਤਰ੍ਹਾਂ ਨਾਲ ਕੰਮ ਨਹੀਂ ਕਰਦੀ ਹੈ।
Pace Maker
ਦਿਲ ਦਾ ਇਲੈਕਟ੍ਰਿਕਲ ਸਿਸਟਮ : ਇਹ ਇਕ ਅਜਿਹਾ ਸਿਸਟਮ ਹੈ ਜੋ ਦਿਲ ਨੂੰ ਠੀਕ ਤਰੀਕੇ ਨਾਲ ਕੰਮ ਕਰਨ ਵਿਚ ਮਦਦ ਕਰਦਾ ਹੈ। ਇਸ ਨੂੰ ਹੀ ਹਾਰਟ ਇਲੈਕਟ੍ਰਿਕਲ ਸਿਸਟਮ ਕਹਿੰਦੇ ਹਨ। ਇਸ ਦੀ ਮਦਦ ਨਾਲ ਦਿਲ ਤੋਂ ਇਲਾਵਾ ਬਾਕੀ ਅੰਗਾਂ ਵਿਚ ਉਚਿਤ ਮਾਤਰਾ ਵਿਚ ਖੂਨ ਦਾ ਵਹਾਅ ਹੁੰਦਾ ਹੈ। ਇਹ ਧੜਕਨਾਂ ਨੂੰ ਕਾਬੂ ਕਰਦਾ ਹੈ। ਦਿਲ ਦੇ ਉਤੇ ਅਤੇ ਹੇਠਲੇ ਹਿਸੇ ਵਾਰੀ - ਵਾਰੀ ਨਾਲ ਸਿਕੁੜਦੇ ਅਤੇ ਆਰਾਮ ਕਰਦੇ ਹਨ, ਇਸ ਨਾਲ ਖੂਨ ਦਿਲ ਤੋਂ ਫੇਫੜਿਆਂ ਵਿਚ ਜਾਂਦਾ ਹੈ ਅਤੇ ਉਥੇ ਤੋਂ ਪੂਰੇ ਸਰੀਰ ਵਿਚ ਜਾਂਦਾ ਹੈ।
Pace Maker
ਇਹ ਸਿਸਟਮ ਸ਼ਕਤੀ ਪ੍ਰਦਾਨ ਕਰਦਾ ਹੈ ਜਿਸ ਦੇ ਨਾਲ ਦਿਲ ਨੂੰ ਕੰਮ ਕਰਨ ਵਿਚ ਅਸਾਨੀ ਹੁੰਦੀ ਹੈ। ਦਿਲ ਦੀ ਪ੍ਰਕਿਰਿਆ ਸਾਇਨੋਏਟਰਿਅਲ ਨੋਡ ਵਲੋਂ ਸ਼ੁਰੂ ਹੁੰਦੀ ਹੈ ਜੋਕਿ ਦਹਿਨੇ ਏਟਰਿਅਮ ਵਿੱਚ ਹੁੰਦਾ ਹੈ। ਫਿਰ ਇਲੈਕਟ੍ਰੀਕਲ ਇਮਪਲਸ ਏਵੀ ਨੋਡ ਤੱਕ ਜਾਂਦਾ ਹੈ ਜੋ ਏਟਰੀਅਮ ਅਤੇ ਵੈਂਟਰੀਕਲ ਦੇ ਵਿਚ ਹੁੰਦਾ ਹੈ। ਏਵੀ ਨੋਡ ਇਕ ਦਰਵਾਜੇ ਦੇ ਰੂਪ ਵਿਚ ਕੰਮ ਕਰਦਾ ਹੈ। ਜੋ ਇਲੈਕਟ੍ਰੀਕਲ ਸਿਗਨਲ ਨੂੰ ਦਿਲ ਦੇ ਹੇਠਲੇ ਹਿਸੇ ਵਿਚ ਜਾਣ ਤੋਂ ਪਹਿਲੇ ਹੌਲੀ ਕਰਦਾ ਹੈ। ਇਹ ਰਫ਼ਤਾਰ ਏਟ੍ਰੀਅਮ ਨੂੰ ਪਹਿਲਾਂ ਸੁੰਗੜਣ ਦਾ ਮੌਕਾ ਦਿੰਦੀ ਹੈ ਅਤੇ ਉਸ ਦੇ ਬਾਅਦ ਦਿਲ ਦਾ ਨੀਵਾਂ ਕੋਸ਼ ਸੁੰਗੜਦਾ ਹੈ।
Pace Maker
ਏਵੀ ਨੋਡ ਨਾਲ ਇਲੈਕਟ੍ਰੀਕਲ ਇਮਪਲਸ ਹਿਸ ਪੁਰਕਿੰਜ ਨੈਟਵਰਕ ਤੋਂ ਨਿਕਲਦਾ ਹੈ, ਇਸ ਵਿਚ ਵਿਸ਼ੇਸ਼ ਕਿਸਮ ਦੇ ਫਾਇਬਰ ਹੁੰਦੇ ਹਨ ਜਿਨ੍ਹਾਂ ਤੋਂ ਇਲੈਕਟ੍ਰੀਸਿਟੀ ਨਿਕਲਦੀ ਹੈ। ਜਦੋਂ ਇਮਪਲਸ ਵੈਂਟਰੀਕਲ ਦੀ ਵਾਲਸ ਵਿਚ ਜਾਂਦਾ ਹੈ ਤਾਂ ਵੈਂਟਰੀਕਲ ਯਾਨੀ ਦਿਲ ਦਾ ਨੀਵਾਂ ਹਿੱਸਾ ਕੰਪਰੈੱਸਡ ਹੁੰਦਾ ਹੈ।
ਇਸਤੋਂ ਦਿਲ ਦੀ ਧੜਕਨ ਪ੍ਰਤੀ ਮਿੰਟ 60 ਵਲੋਂ 100 ਵਾਰ ਧੜਕਦੀ ਹੈ : ਪੇਸਮੇਕਰ ਬੈਟਰੀ ਦੀ ਮਦਦ ਨਾਲ ਕੰਮ ਕਰਨ ਵਾਲਾ ਯੰਤਰ ਹੈ ਜੋ ਦਿਲ ਦੀਆਂ ਧੜਕਨਾਂ ਨੂੰ ਨਿਯੰਤਰਿਤ ਰੱਖਣ ਵਿਚ ਮਦਦ ਕਰਦਾ ਹੈ। ਇਸ ਵਿਚ ਲੱਗੇ ਤਾਰ ਦਿਲ ਦੀ ਹਾਲਤ ਦੀ ਜਾਣਕਾਰੀ ਨੂੰ ਮਸ਼ੀਨ ਤੱਕ ਪਹੁੰਚਾਉਂਦੇ ਹਨ ਅਤੇ ਉਸ ਹਾਲਤ ਦੇ ਅਨੁਸਾਰ ਮਸ਼ੀਨ ਦਿਲ ਦੀ ਸਹਾਇਤਾ ਕਰਦੀ ਹੈ। ਇਸ ਵਿਚ ਲੱਗੀ ਬੈਟਰੀ ਜਨਰੇਟਰ ਵਿਚ ਸ਼ਕਤੀ ਪਹੁੰਚਦੀ ਹੈ ਅਤੇ ਇਹ ਸੱਭ ਇਕ ਪੇਸਮੇਕਰ ਪਾਕੇਟ ਬਾਕਸ ਵਿਚ ਇਕੱਠਾ ਹੁੰਦਾ ਹੈ। ਇਸ ਵਿਚ ਲੱਗੇ ਤਾਰ ਜਨਰੇਟਰ ਨੂੰ ਦਿਲ ਤੋਂ ਜੋਡ਼ਦੇ ਹਨ।
Pace Maker
ਪੇਸਮੇਕਰ ਦਿਲ ਦੀਆਂ ਧੜਕਨਾਂ ਨੂੰ ਕਾਬੂ ਕਰਦਾ ਹੈ। ਜਦੋਂ ਦਿਲ ਦੀ ਧੜਕਨ ਅਸਾਧਾਰਣ ਹੁੰਦੀ ਹੈ, ਤਾਂ ਕੰਪਿਊਟਰ ਦੇ ਜ਼ਰੀਏ ਪਤਾ ਚੱਲ ਜਾਂਦਾ ਹੈ ਤੱਦ ਪੇਸਮੇਕਰ ਦਿਲ ਨੂੰ ਇਲੈਕਟ੍ਰੀਕਲ ਇਮਪਲਸ ਭੇਜਦਾ ਹੈ। ਇਹ ਇਮਪਲਸ ਪੇਸਮੇਕਰ ਦੇ ਤਾਰਾਂ ਨਾਲ ਜਾ ਕੇ ਅਸਧਾਰਣ ਧੜਕਨਾਂ ਉਤੇ ਕਾਬੂ ਪਾਉਣ ਦਾ ਕੰਮ ਕਰਦੇ ਹਨ।
